تعرف علي خدماتنا الان

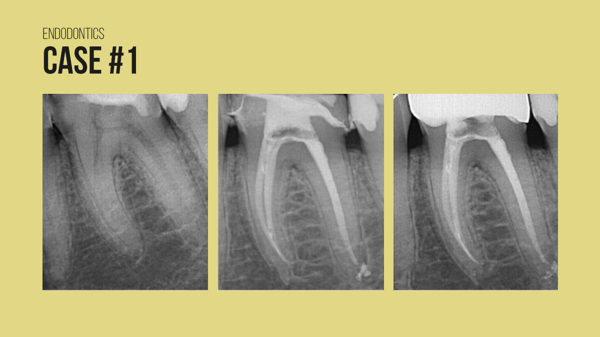
علاج جذور الأسنان: هو اجراء يهدف الى إنقاذ السن الذي تضرر لبه وهو النسيج الرخو الموجود داخل السن الذي يحتوي على الأعصاب والأوعية الدموية يحدث الضرر عادة بسبب التسوس العميق أو الاصابة أو الكسور

زLorem ipsum dolorsit amet, consectetur adipisicing elit. Autem dolore, alias, numquam enim ab voluptate id quam harum ducimus cupiditate similique quisquam et deserunt, recusandae.

تقويم الأسنان: يهدف تقويم الاسنان الى تحسين مظهر الاسنان ووظيفتها وعلاج مشاكل اصطفاف الاسنان والفكين بالإضافة الى تصحيح مشاكل العضة والاطباق

Lorem ipsum dolorsit amet, consectetur adipisicing elit. Autem dolore, alias, numquam enim ab voluptate id quam harum ducimus cupiditate similique quisquam et deserunt, recusandae.

زراعة الأسنان: هو اجراء جراحي تجميلي يهدف الى تعويض الأسنان المفقودة أو التالفة بشكل دائم. وهو من أكثر الإجراءات نجاحا في طب الأسنان

Lorem ipsum dolorsit amet, consectetur adipisicing elit. Autem dolore, alias, numquam enim ab voluptate id quam harum ducimus cupiditate similique quisquam et deserunt, recusandae.
All Rights Reserved.



